首頁 / 免疫細胞凍存
研究顯示,40歲後免疫細胞活性及數量遞減
60歲後罹癌率激增。提前凍存,為健康挑戰作好準備!
免疫細胞老化的影響
《Nature》研究顯示,免疫細胞的衰老會引發全身性老化,加速身體退化與疾病風險,主要影響包括:
在健康高峰時儲存免疫細胞,能預留最年輕、最具活性的免疫力。
主動偵測並清除體內異常細胞,阻止潛在癌變,維持健康穩定。
修補受損組織
活化細胞功能,讓身體維持年輕的修復力。
抵禦病毒與細菌攻擊,建立穩定的防禦網絡。
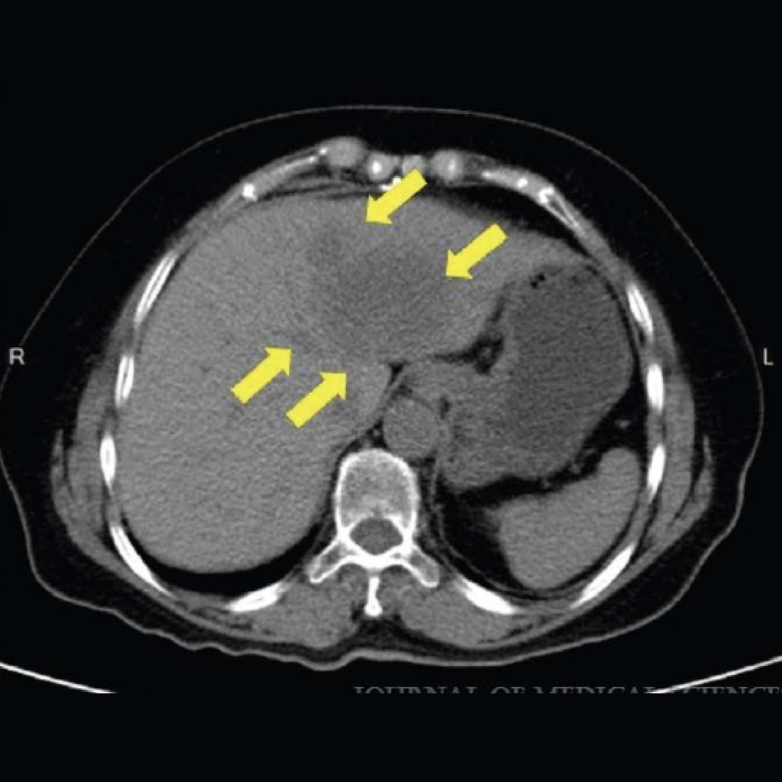
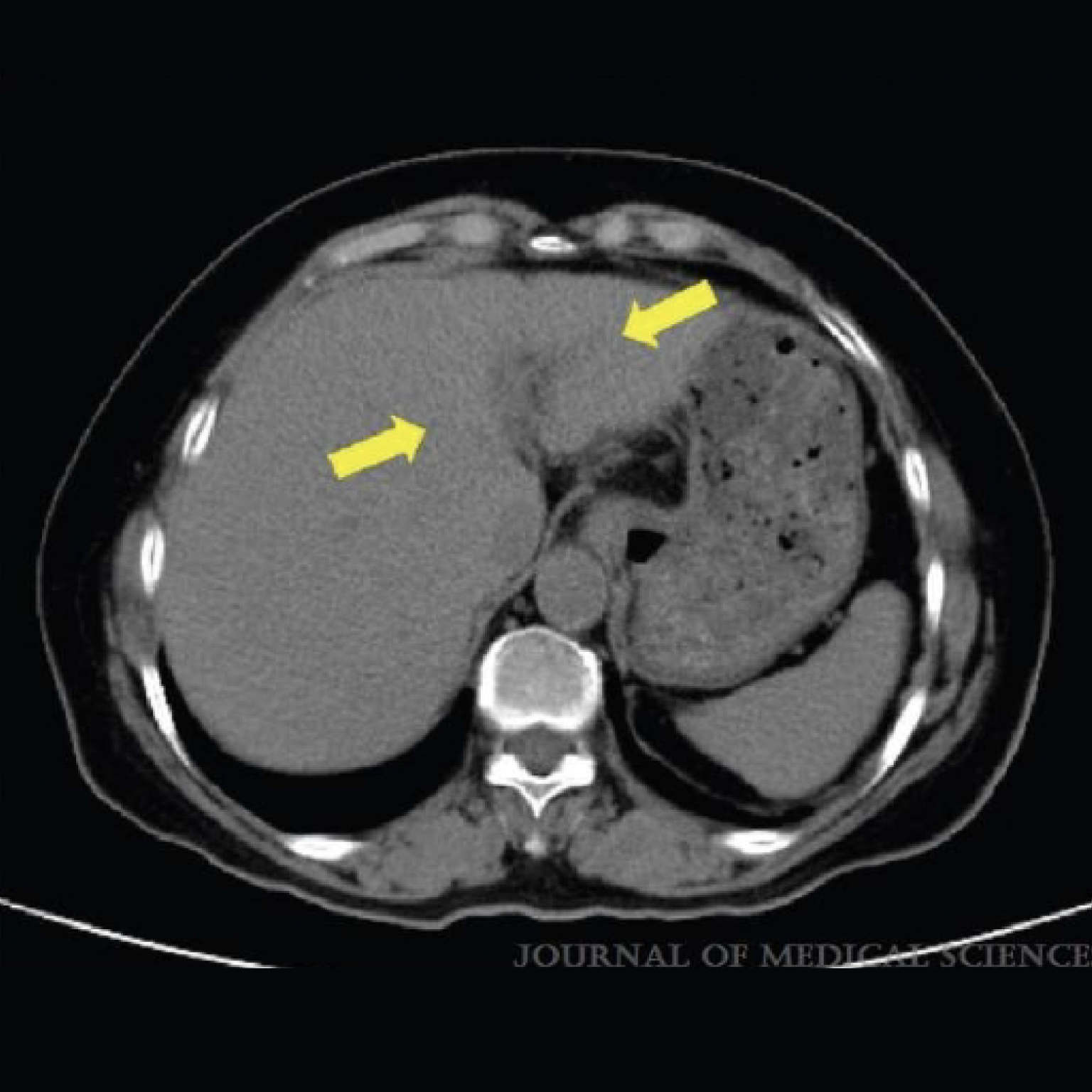
一ㄘ名轉移性肝腫瘤的非小細胞肺癌 (NSCLC) 患者,
在接受為期 24 週的自體免疫殺手細胞 (IKC®) 治療後,
成功治療後未再發現肝轉移腫瘤。

腹部電腦斷層掃描在Osimertinib治療期間顯示顯影不良的肝臟腫塊,可能為肝轉移。

完成(IKC®)治療3個月後 未發現可辨識的肝腫瘤。
這份病例報告描述了在24週的自體免疫殺手細胞(IKC®)治療後,成功治療了源自肺腺癌的轉移性肝腫瘤。本研究已獲得三軍總醫院、國防醫學院的批准。
批准號碼:B202005066|批准日期:2020/05/13
簡單來說,這是一種「用自己儲存的免疫細胞打癌細胞」的治療
醫師會先抽取患者自身的免疫細胞,在實驗室中幫它們「培養、訓練、變強」,再回輸回身體裡,讓這些被強化的免疫細胞主動去辨識並攻擊癌細胞,就像幫身體的防禦軍隊升級成菁英部隊一樣,協助恢復自癒與防癌能力。
因為疾病不會預告
當危機來臨,只有提前準備好的人,才有選擇的機會,
免疫細胞能啟動身體的自癒系統,是抗癌、抗衰老、防感染的關鍵戰力,
不論年齡,現在儲存,就是替未來的自己提供多一個選擇。
像是胃癌、大腸癌、乳癌、卵巢癌等疾病,具有遺傳傾向。
提前保存最健康的免疫細胞,為自己與家人做最值得的健康投資。
長期熬夜、外食、抽菸或飲酒,都可能增加肺癌、口腔癌、肝癌等疾病風險。現在儲存免疫細胞,就是為未來做最好的準備。
在身體強壯時凍存免疫細胞,給未來的自己遠離疾病與享受生活的機會。

40歲後免疫力加速衰退,罹癌率提高

願意投入預防醫學 追求長期健康

遺傳性癌症/慢性病 更須超前部署

經常熬夜、壓力山大 免疫力下滑

經歷過癌症治療 對疾病復發做風險控管
免疫細胞凍存適合所有身體健康的成年人,特別是:
・40 歲以上,希望提早規劃健康的人
・有癌症家族病史或癌症康復者
・長期處於高壓工作環境、免疫力容易下降者
在身體狀況良好、免疫細胞活性最充足的階段進行儲存
是最理想的時機。
免疫細胞採集的過程就像一般抽血或捐血,由診所專業醫護人員執行,全程安全、快速。除了短暫的針扎感外,幾乎無明顯疼痛與副作用,整個過程約 20–30 分鐘 即可完成,無需住院或麻醉。
我們目前不建議 18 歲以下族群進行免疫細胞儲存。此外,若您屬於以下情況,建議先與醫師諮詢再評估:
・懷孕中
・免疫功能低下或長期服用免疫抑制劑
・自體免疫疾病患者
・曾接受器官移植者
不一樣。
幹細胞像「修復工兵」,負責組織修復與再生
免疫細胞則是「防禦軍隊」,負責對抗癌細胞與外來病原
兩者功能不同、但相輔相成,皆屬於再生醫學的重要領域。